Gå til produktoplysninger
1 af 1

GRATIS kursus om Kompositkroner og Cementering

GRATIS kursus om Kompositkroner og Cementering

  • 27. oktober 2025, 18.00-20.00
  • Comwell Kolding
Normalpris 0,00 DKK
Normalpris Udsalgspris 0,00 DKK
Earlybird GRATIS kursus om kompositkroner og Cementering Udsolgt
Inkl. moms.
Ticket Type

Foredrag om kompositkroner for hele klinikken 

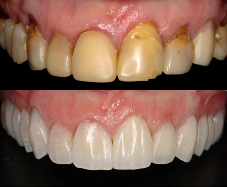
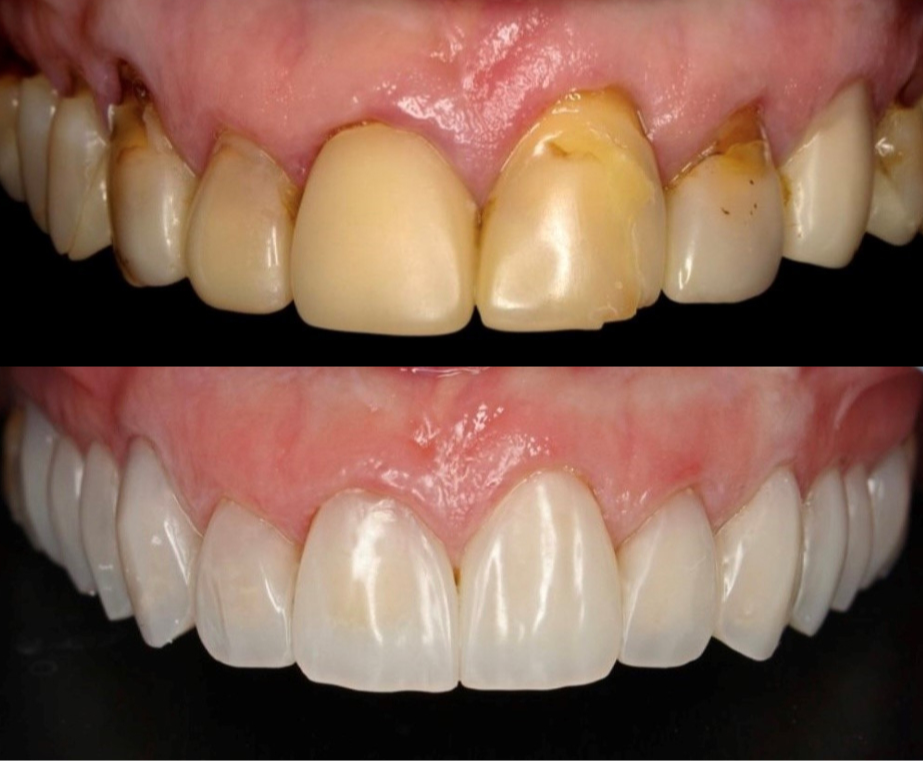
Kom til foredrag med Tim Hark som er tandtekniker fra VOCO om moderne nanokeramik hybridmaterialer som bliver mere og mere populære til indirekte restaureringer.

Er det på tide at kigge på nye materialer og muligheder?

Målet med dette kursus:

Tandlæger har brugt kompositmaterialer til direkte restaureringer med succes i mere end 30 år. Nu er det tid til, at kigge på den seneste generation af denne materialeklasse til kroner.

Udforsk fordele og muligheder ved nanokeramiske hybridmaterialer. Brug dem til dig selv og dine patienter.

Oplev hvor hurtigt, nemt og effektivt dette materiale er at arbejde med.

Indhold:

  • Den seneste generation af fræsematerialer: nanokeramiske hybridmaterialer
  • Fordele, muligheder og begrænsninger
  • Korrekt håndtering: fra forberedelse til cementering
  • Live demo: Polering, fiksering og reparation (cusp konstruktion)

Tid og sted

Mad serveres fra kl. 17.30
Kursus fra kl. 18.00 til kl. 20.00

Comwell Kolding
Skovbrynet 1
6000 Kolding

Kurset er gratis og er inkl. let forplejning (No show fee 500 kr.)

Man kan afmelde uden beregning sig senest 7 dage før kursus, derefter faktureres man no show fee på 500 kr

Alle deltagende tandlæger kan efter kurset, bestille en gratis Grandio krone

BEMÆRK: BEGRÆNSET ANTAL PLADSER SÅ FØRST TIL MØLLE

Alle deltagere vil modtage kursus bevis på 2 kursustimer

Kurset er lavet i samarbejde med Cenger og VOCO

Mere info om materialerne som vi kommer igennem

Grandio_blocs-Alejandro_Bertoldi_Hepburn_Digital_Dentistry_02_2023,_VOL._4.pdf (voco.dental)

GrandioBlocs_Dr-Ferraz-da-Silva_2020_GB.pdf (voco.dental)

Highly aesthetic restorations with Grandio disc multicolor (nano-ceramic hybrid CAD/CAM material) (youtube.com)

Se komplette oplysninger