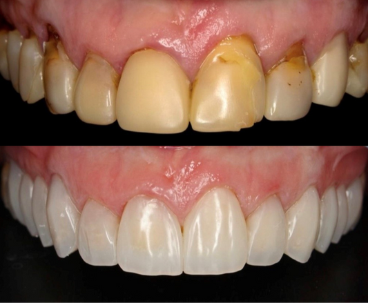
DENTALKURSER MED ET TWIST

Vi har et mål om at tilbyde en lang række dentalkurser, med et højt fagligt indhold og med dygtige og engagerede oplægsholdere. Vores kurser til dentalbranchen har ofte et uventet element. Har du f. eks. været på kursus i “Pinot og provisorier” før? Eller deltaget i “Uofficielt DM for tandlæger i gocart”, samtidig med du bliver opkvalificeret fagligt?

Har du en god idé til et kursus eller en underviser/oplægsholder, så kontakt os endelig! Vi er meget åbne for nye emner og typer af kurser til dentalbranchen.

Vi samarbejder med førende virksomheder i dentalbranchen

Slider billede
Slider billede
Slider billede
Slider billede
Slider billede
Slider billede
Slider billede
Slider billede
Slider billede
Slider billede